Warning: Do NOT Buy This Walmart Product
Barracuda
t’s not bad enough they are poisoning and dumbing down Americans throughout our whole country by adding fluoride to roughly 70% of the countries tap water.Now I just found out from a friend who sent me these pictures he had taken while in a Walmart store.Walmart doing their part in poising infants.Parents are targeted to purchase this product by putting an infant on the bottled water jugs touting it has fluoride like it’s a good thing with the birth+ and colourful nursery letters.First of all over in Europe they do not put fluoride in their tap water and studies show that their teeth are no better off than ours here in the US. So This angered me to no tomorrow when I saw this.Especially knowing what I now know about fluoride and it’s detrimental effects on body and mind.


Hitler gave prisoners in his concentration camps fluorinaded water.His Nazi scientists just as brilliant as they were evil ,found out it targets a part of the brain that makes people docile and easy to control like a medicated zombie if you will.
Here is an excerpt from an article telling how the use of fluoride in drinking water originated:
At the end of World War II, the US government sent Charles Eliot Perkins, a research worker in chemistry, biochemistry, physiology and pathology, to take charge of the vast Farben chemical plants in Germany. The German chemists told Perkins of a scheme which they had devised during the war and had been adapted by the German General Staff. The German chemists explained of their attempt to control the population in any given area through the mass medication of drinking water with sodium fluoride, a tactic used in German and Russian prisoner of war camps to make the prisoners “stupid and docile”(Stephen 1995). Farben had developed plans during the war to fluoridate the occupied countries because it was found that fluoridation caused slight damage to a specific part of the brain, making it more difficult for the person affected to defend his freedom and causing the individual to become more docile towards authority. Fluoride remains one of the strongest anti-psychotic substances known, and is contained in twenty-five percent of the major tranquilizers. It may not seem surprising that Hitler’s regime practiced the concept of mind control through chemical means, but the American military continued Nazi research, exploring techniques to incapacitate an enemy or medicate an entire nation. As stated in the Rockerfeller Report, a Presidential briefing on CIA activities, “the drug program was part of a much larger CIA program to study possible means of controlling human behavior”(Stephen 1995).Source
It’s all part of the NWO takeover .
I have been wondering why we don’t have more outrage in this country with the bankers raping and destroying this county at an alarming pace.Obama signing unconstitutional executive orders like he was signing autographs.Everyone just wants to believe everything will be ok and those in charge will straighten everything out.Not a chance in hell.I’m guessing if they didn’t fluoridate our drinking water,and add it to most beverages and some food and even salt, that we would see bankers dangling from nooses on street lamp posts.Check this out Iran don’t tolerate this Bullsh*t like we do here in the US.
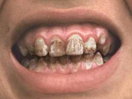
Back to Wal-Mart. It is so friggen evil that they are selling products that are poisonous.Flouride is one of the biggest cons in history.It causes bone cancer ,Autism,lowers IQ it can cause dental fluorosis as seen in picture below.
We all have to get involved. Instead of just reading about what they are doing to us and say ,oh that sucks.We need to tell everyone we know and call politicians like a friend of mine here at BIN does and I have respect for him doing that.Lets all do our part.


Do not buy corn at walmart.Recently in the news Wal-mart will now be selling GMO corn.Thanks Walmart you traitor!.
In case you havn’t heard of the GMO nightmare click here
VIEW VIDEO